Autoimmunity

Autoimmunity

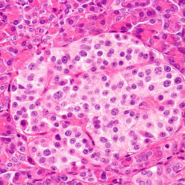
Type 1 Diabetes, SLE and Multiple Sclerosis

Overview

Autoimmunity arises when the immune system attacks and kills the body’s tissue. Type 1 Diabetes arises when the immune system destroys the in the insulin secreting cells in the pancreas. In Systemic Lupus Erythematosus (SLE) the immune system produces autoantibodies that bind to nucleic material, including double stranded DNA. The target in Multiple Sclerosis is the myelin sheath that protects nerve fibres in the central nervous system.

Donate Now Help us give every patient a fighting chance.

We need your help


Our research programs are funded primarily by grants from the National Institutes of Health (NIH). Private donations help to accelerate the progress of research through the purchase of laboratory supplies and equipment or the recruitment of additional laboratory personnel. Thank you!

Donate Now